anda bertanya..dr, coass, mhsw FK,org medis menjawab..
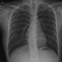
ini maksudnya nyuruh kita balapan sama SpPnya (atau SpPD-KP - pulmonologist-nya) atau gimana? btw, kalu ada file DICOM thorax fotonya, boleh tolong diupload? pusing liat JPG uy..ngga jelas. bukannya nyuruh balapan gan... tapi kesimpulan konsultasi dengan dokter spesialis paru & pernafasa